Patología de hombro y ecografía
04-02-2026-Tempo Formación
El hombro es esa articulación todoterreno que se atreve con todo: levantar peso, lanzar una pelota, empujar una puerta, colgarte de una barra… Pero tanta valentía no viene sin riesgos. Cuando algo falla, el dolor puede aparecer como un villano inesperado, limitando movimientos básicos y haciendo que cada gesto cotidiano se sienta como una misión imposible.
En esta edición vamos a mostrar imágenes ecografícas, extraídas de artículos, de hombros lesionados, para ayudarte a identificar visualmente esas patologías que muchas veces se esconden. Porque cuando el dolor aparece, es como si se activara el modo detective de Batman: hay que observar, analizar y descifrar qué está ocurriendo en lo más profundo de la articulación.
Prepárate para mirar el hombro desde dentro… con ojos de clínica y mente de estratega.
Tendón largo de la cabeza del bíceps (LHBT)
El tendón largo de la cabeza del bíceps es una estructura intraarticular pero extrasinovial que se origina en el tubérculo supraglenoideo y el labrum superior, y desciende por la corredera bicipital del húmero.
En su trayecto, atraviesa el espacio glenohumeral, pasa bajo el ligamento humeral transverso y se posiciona dentro del surco bicipital, donde está en íntimo contacto con la polea bicipital. Esta región es especialmente susceptible a lesiones por sobreuso, degeneración o inestabilidad.
Durante la evaluación ecográfica, se examina en eje corto y largo, desde la porción proximal del surco bicipital hasta su inserción distal cerca del pectoral mayor. Es importante movilizar suavemente el transductor para evitar el artefacto de anisotropía, que puede simular patología.
El estudio dinámico permite valorar inestabilidad, subluxación o luxación del tendón, especialmente útil en pacientes con síntomas mecánicos o antecedentes de luxación glenohumeral.
Tendinosis: Se observa un tendón engrosado, hipoecoico y con pérdida de la estructura fibrilar habitual. Es consecuencia de cambios degenerativos crónicos, común en pacientes con sobrecarga funcional.
Tenosinovitis: El tendón aparece rodeado de líquido en el surco bicipital, más del que correspondería a un simple derrame articular. Puede haber engrosamiento sinovial y señal Doppler aumentada en procesos inflamatorios activos.
Rotura completa: El tendón desaparece del surco bicipital. Es frecuente en adultos mayores con degeneración previa, y puede acompañarse de retracción del vientre muscular distal, generando el clásico “signo de Popeye”. A veces se asocia a alivio del dolor por la descompresión del tendón roto.
Rotura parcial: Más difícil de identificar. Pueden visualizarse defectos focales hipoecoicos o disrupción parcial de las fibras. Requiere experiencia y, muchas veces, comparación contralateral.

Rotura completa de la cabeza larga del bíceps (LHBT).
El corte transversal en eje corto (A) a nivel del surco bicipital muestra derrame anecoico y hemorragia dentro de la vaina sinovial (flecha).
El corte en eje largo (B) muestra un derrame abundante con engrosamiento de la pared de la vaina (flecha).
En ninguno de estos niveles se identifican fibras tendinosas, observándose el vientre muscular y el muñón distal retraídos inferiormente.

Engrosamiento anecoico (flechas) de la vaina del tendón de la porción larga del bíceps en un caso de tenosinovitis.
Lesiones del manguito rotador
El manguito rotador está compuesto por cuatro tendones: subescapular, supraespinoso, infraespinoso y redondo menor. Estos tendones, unidos a sus respectivos músculos, estabilizan la cabeza humeral durante los movimientos del hombro y permiten acciones tan importantes como la rotación y elevación del brazo.
En ecografía, los tendones del manguito se visualizan como estructuras hiperecogénicas, con superficie convexa y un patrón fibrilar homogéneo, cuando están sanos. El estudio ecográfico debe realizarse en eje corto y largo, y es importante ajustar la inclinación del transductor para evitar artefactos de anisotropía.
Las roturas del manguito rotador (RC) constituyen una de las causas más frecuentes de dolor y disfunción del hombro. La ecografía musculoesquelética, cuando se realiza por operadores entrenados, ofrece una sensibilidad y especificidad elevadas, comparable en muchos casos a la resonancia magnética, especialmente para roturas de espesor completo.
Caracterización ecográfica
Toda rotura del RC debe describirse teniendo en cuenta los siguientes aspectos:
- Localización en eje corto: fibras anteriores, medias o posteriores.
- Extensión en eje largo: si afecta la huella de inserción (footprint) en el troquiter o la unión músculo-tendinosa.
- Tamaño: una rotura masiva se define como aquella que mide más de 5 cm de ancho y/o compromete dos o más tendones.
- Forma y retracción tendinosa: la retracción es habitual en roturas crónicas, y debe documentarse, ya que tiene implicancia pronóstica y quirúrgica.
Roturas completas vs. parciales
- Las roturas completas muestran una interrupción total de las fibras, generalmente con retracción del tendón y, en fases agudas, con derrame articular o bursal.
- En cambio, las roturas crónicas suelen presentar retracción sin líquido evidente, y pueden acompañarse de atrofia muscular.
- Las roturas parciales pueden afectar la superficie articular, la superficie bursal o el espesor intratendinoso, y se evidencian como zonas hipoecoicas o heterogéneas con arquitectura alterada.
Signos ecográficos asociados
- Irregularidades corticales en la huella de inserción del tendón.
- Signo de la interfaz del cartílago: línea hiperecogénica curva que se observa paralela al cartílago hialino de la cabeza humeral, en contacto con tendón anormal hipoecoico. Es más evidente en roturas de espesor completo del lado articular.
- Derrame en la bursa subacromial-subdeltoidea (SASD) y/o en la articulación glenohumeral.
- Colapso o depresión de la pared bursal en la zona de la rotura.
Entre todos, la irregularidad cortical y el derrame articular son los signos con mayor sensibilidad y valor predictivo para la detección ecográfica de roturas del tendón supraespinoso.
Tendinopatía
Es una de las alteraciones más frecuentes. El tendón aparece engrosado, con áreas focales o difusas hipoecoicas, pérdida parcial de la arquitectura fibrilar y, en ocasiones, signos de degeneración mucoide. Estos hallazgos reflejan cambios crónicos por sobrecarga o envejecimiento tendinoso.
Roturas parciales
Las roturas parciales pueden afectar la superficie articular, bursal, o el interior del tendón. En ecografía, se evidencian como defectos hipoecoicos, con o sin interrupción visible de las fibras. Suelen acompañarse de irregularidad cortical en el punto de inserción tendinosa.

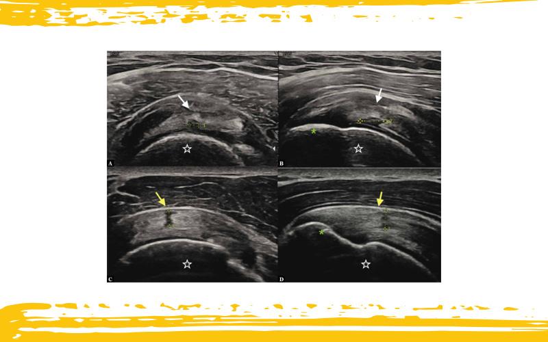
Rotura parcial del tendón del supraespinoso.
Rotura de la superficie articular (flechas blancas) en los cortes en eje corto (A) y eje largo (B), y rotura de la superficie bursal (flechas amarillas) en los cortes en eje corto (C) y eje largo (D).
La rotura se visualiza como un área hipoecoica con pérdida del patrón fibrilar normal, que afecta únicamente a una de las caras del tendón.
Estrella: cabeza humeral.
Asterisco: tubérculo mayor en la huella del supraespinoso.

Imágenes ecográficas de:
(C) rotura del tendón del subescapular, y (D) rotura del tendón del infraespinoso.
La ilustración situada en la esquina inferior izquierda representa la posición del transductor. Las flechas señalan los sitios de la rotura.
Roturas completas
En este caso, se observa una interrupción total de las fibras tendinosas, con retracción del tendón, pérdida del aspecto fibrilar y, en ocasiones, líquido hipoecoico ocupando el defecto. La precisión diagnóstica de la ecografía para las roturas de espesor completo es comparable a la de la resonancia magnética, pudiendo alcanzar hasta el 100% en manos experimentadas.

Imágenes ecográficas de:
(A) rotura de espesor completo del tendón del supraespinoso,
La ilustración situada en la esquina inferior izquierda representa la posición del transductor. Las flechas señalan los sitios de la rotura.

Rotura completa del Tendón Subescapular (Flechas negras) asociada a una dislocación intraarticular de la cabeza larga del Bíceps (Flechas blanca).
Calcificaciones (entesopatía cálcica)
Depósitos hiperecogénicos, bien definidos, dentro del tendón. Pueden o no generar sombra acústica posterior, dependiendo de su densidad y fase evolutiva. Estas calcificaciones pueden generar dolor intenso, sobre todo en la fase de reabsorción, y se observan con mayor frecuencia en el tendón del supraespinoso.

Pequeña calcificación intratendinosa preinsercional del supraespinoso, con sombra acústica.
Asterisco: huella del supraespinoso en la tuberosidad mayor.

Tendinosis calcificante con pérdida de la interfaz de la bursa subdeltoidea-subacromial, sombra acústica y neovascularización.
Sabemos que el hombro guarda muchos más secretos: articulaciones, bolsas, nervios y otras estructuras que también pueden lesionarse y causar dolor. Pero como en toda buena historia, es necesario parar, procesar lo aprendido… y prepararse para lo que viene.
Volveremos con más lesiones, más imágenes, y sobre todo, con más conocimiento para entender mejor esta compleja —y fascinante— articulación.
Porque el hombro aún tiene mucho que contar.
Bibliografía
1. Shoulder ultrasound: current concepts and future perspectives
2. Utilidad y fiabilidad de la ecografía clínica musculoesquelética en medicina familiar (2): lesiones musculares, artrosis, enfermedades reumatológicas y procedimientos ecoguiados
3. The diagnosis and management of shoulder pain