Nervio cutáneo posterior del antebrazo y ecografia
15-01-2026-Tempo Formación
Llegamos al último capítulo de esta aventura neuroanatómica inspirada en el artículo “High-Resolution Ultrasound of Clinically Relevant Sensory Nerves of the Arm and the Forearm” de Federico Zaottini et al., que nos ha llevado a recorrer cada rincón sensitivo del brazo y antebrazo con la lupa (o mejor dicho, la sonda) del ecógrafo.
Después de conocer al nervio cutáneo medial del brazo, al medial del antebrazo y al lateral... nos quedaba uno. El que vigila desde las sombras, el que no aparece en todas las escenas, pero que cuando se lesiona, se hace notar: el nervio cutáneo posterior del antebrazo (PCNF).
Es algo así como el Boba Fett de los nervios sensitivos: no siempre tiene el protagonismo, pero su aparición es clave. Y aunque no lo veas venir, ahí está.
Prepárate, porque esta cuarta entrega viene cargada de información útil, curiosidades anatómicas y razones de sobra para no olvidar al PCNF en tus valoraciones clínicas.
El nervio cutáneo posterior del antebrazo (PCNF) nace del nervio radial, a nivel de la porción distal del surco radial. Está formado por axones que provienen de la raíz C7, a través del tronco medio y el cordón posterior del plexo braquial.
Desde su origen, el PCNF sigue el trayecto del nervio radial en el surco espiral del húmero, hasta que perfora el tabique intermuscular lateral, a una distancia media de 10 cm proximal al epicóndilo lateral. Es en este punto donde el PCNF se separa del nervio radial y desciende de forma independiente, posterior al tabique intermuscular lateral, para emerger del compartimento posterior hacia el tejido subcutáneo. Esto ocurre a través de un hiato ubicado en la intersección entre la fascia profunda y el propio tabique. Diferentes estudios anatómicos han encontrado este hiato de forma consistente entre los 6,5 y 10 cm proximal al epicóndilo lateral.

Nervio cutáneo posterior del antebrazo (PCNF).
A. La disección cadavérica del miembro superior muestra el PCNF (puntas de flecha blancas) discurriendo por detrás del septo intermuscular lateral (puntas de flecha delineadas), avanzando hacia la región posterolateral del antebrazo. En contraste, el nervio radial (flechas blancas) perfora el septo intermuscular lateral y se dirige anteriormente y de forma medial.
B. La imagen ecográfica revela el nervio radial (flecha blanca) discurriendo entre los músculos braquial y braquiorradial (BRad) tras perforar el septo intermuscular lateral (puntas de flecha delineadas). Al mismo nivel, el PCNF (punta de flecha) aparece como una estructura fascicular hipoecoica situada por detrás del septo, profunda a la cabeza lateral del tríceps (TrLH), y acompañando a la arteria colateral radial (flecha delineada).
C. Se muestra un trayecto variante del PCNF, en el que el nervio atraviesa la cabeza lateral del tríceps (TrLH) antes de situarse a lo largo del aspecto posterior del septo intermuscular lateral (puntas de flecha delineadas).
Una vez que el PCNF entra en el tejido subcutáneo, su patrón de ramificación puede variar. En el 95% de los casos, se observa una rama longitudinal principal que recorre entre 2 y 3,9 cm anterior al epicóndilo lateral, descendiendo sobre el espacio comprendido entre el braquiorradial y el extensor radial largo del carpo, en el antebrazo proximal.
En muchas ocasiones, se pueden observar ramas adicionales como:
- Una rama proximal hacia el antebrazo lateral.
- Una rama epicondilar.
- Una segunda rama longitudinal, asociada a la principal.
Distalmente, a nivel del antebrazo proximal y medio, la mayoría de las ramas del PCNF cruzan la línea media del antebrazo posterior y se anastomosan con las ramas posteriores del nervio cutáneo medial del antebrazo (MCNF). Un número menor de ramas se dirige hacia afuera, comunicándose con las ramas posteriores del LCNF.
Vamos, que este nervio es como Loki: cambia de forma, de dirección, y se mete por donde menos te lo esperas… pero si sabes dónde buscar, puedes anticipar perfectamente sus movimientos.

Lesión traumática del nervio cutáneo posterior del antebrazo (PCNF).
A. Una fotografía del miembro superior muestra una cicatriz extensa en la cara lateral del brazo distal y antebrazo proximal, siguiendo el trayecto del nervio cutáneo posterior del antebrazo (PCNF). El paciente refiere disminución de la sensibilidad alrededor de la cicatriz y dolor paroxístico al roce ligero en la misma zona, tras un traumatismo penetrante sufrido 2 meses antes.
B. La imagen ecográfica muestra una cicatriz (puntas de flecha) que afecta al tejido subcutáneo alrededor del septo intermuscular lateral, respetando el nervio radial (flecha), el cual discurre distal al septo y se encuentra protegido por el músculo braquiorradial (BRad).
C. Una imagen ecográfica obtenida inmediatamente distal a la cicatriz revela cambios edematosos en el tejido subcutáneo, junto con un neuroma traumático que afecta al nervio cutáneo posterior del antebrazo (PABCN, flecha delineada).
A diferencia de los nervios cutáneos medial y lateral del antebrazo, que han recibido bastante atención por su relevancia clínica, el PCNF sigue siendo un nervio algo infravalorado. Sin embargo, puede verse lesionado en múltiples contextos, como en cirugías de codo o en fracturas diafisarias del húmero medio, donde su trayecto por el surco espiral lo pone en riesgo junto al nervio radial.
Estas lesiones iatrogénicas suelen producirse, por ejemplo, al colocar placas en el radio proximal por vía dorsal o durante la liberación quirúrgica del túnel radial. Y aunque no es un personaje que se robe la escena en cada capítulo, el PCNF puede tener un papel fundamental, como Rhaenyra Targaryen en La Casa del Dragón: cuando aparece, cambia el curso de los acontecimientos… especialmente en el quirófano.

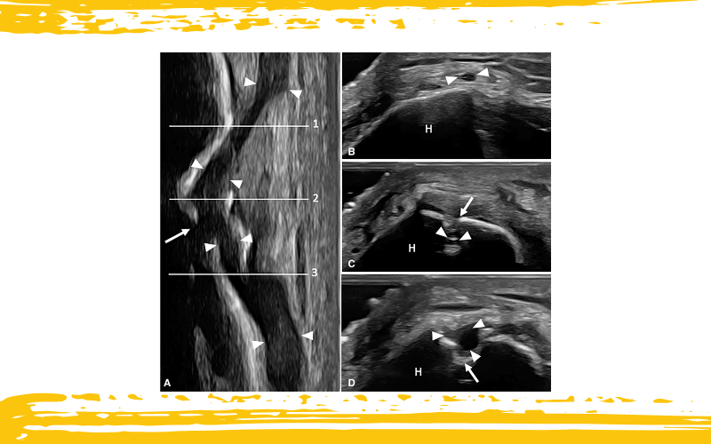
Varón de 34 años que presenta dolor y parestesias en la cara posterolateral del antebrazo y sobre el epicóndilo lateral, iniciados 2 semanas después de una fractura supracondílea de húmero.
La exploración ecográfica reveló atrapamiento del nervio cutáneo posterior del antebrazo (PCNF) a nivel del foco de la fractura en proceso de consolidación.
En la imagen A, la vista ecográfica longitudinal (puntas de flecha blancas) muestra cómo el nervio se desvía de su trayecto habitual, quedando incluido dentro de la línea de fractura (flecha blanca).
Las imágenes B, C y D presentan tres cortes ecográficos axiales secuenciales del PCNF (puntas de flecha), obtenidos en las líneas 1, 2 y 3 señaladas en la imagen A, respectivamente. Estas imágenes ilustran el trayecto del nervio a través de la línea de fractura (flecha blanca).
Se observa una pérdida completa de la ecotextura fascicular, acompañada de aumento del calibre del nervio tanto proximal como distal al foco de la fractura.
H: húmero.
De hecho, la literatura quirúrgica reciente lo ha considerado como objetivo de denervación en casos de epicondilitis lateral crónica refractaria, mostrando un creciente interés por su abordaje específico.
Además, existen varias situaciones clínicas donde un bloqueo selectivo del PCNF puede ser de gran utilidad:
- Para completar un bloqueo del plexo braquial, si la cirugía se extiende hacia la región posterior del antebrazo.
- En procedimientos menores localizados, como curas de quemaduras, extracción de cuerpos extraños o drenaje de abscesos en la cara posterior del antebrazo.
- Y si se combina con los bloqueos del nervio cutáneo medial y lateral del antebrazo, se puede conseguir un bloqueo sensitivo total del antebrazo, ideal tanto para cirugía superficial como para tolerar un torniquete en intervenciones de la mano.
Y así llegamos al final de nuestra saga. Hemos recorrido juntos los caminos —a veces rectos, otras inesperadamente retorcidos— de los nervios cutáneos medial del brazo, medial del antebrazo, lateral del antebrazo y posterior del antebrazo, siguiendo la guía experta del artículo de Federico Zaottini et al.
Si te ha parecido útil, interesante o simplemente curioso descubrir cómo estos pequeños nervios pueden tener tanto impacto clínico, entonces esta serie ha cumplido su propósito. Pero como en toda buena historia… el final no tiene por qué ser el final.