Nervio cutáneo medial del brazio y nervio intercostobraquial
30-12-2025-Tempo Formación
Esta publicación se basa en el artículo “High-Resolution Ultrasound of Clinically Relevant Sensory Nerves of the Arm and the Forearm” de Federico Zaottini et al., y es la primera de una serie dedicada a la ecografía de los nervios cutáneos del brazo y antebrazo.
Los trastornos de estos nervios pueden causar dolor o alteraciones sensitivas difíciles de diagnosticar. Las pruebas electrodiagnósticas suelen ser poco útiles en nervios pequeños, y la resonancia magnética presenta limitaciones claras por el tamaño y la señal similar a la de pequeños vasos.
En cambio, la ecografía permite identificar alteraciones sutiles en estos nervios, aunque su exploración no es tan conocida como la de los grandes troncos. Además, su aspecto ecográfico no sigue siempre el típico patrón en “panal de abeja”.
Como los hobbits en El Señor de los Anillos, estos nervios pueden parecer pequeños e insignificantes, pero tienen un papel clínico crucial.
Empezamos con esta primera parte/zona: el nervio cutáneo medial del brazo y el nervio intercostobraquial.
El nervio cutáneo medial del brazo (MCNA) transporta fibras sensitivas procedentes de las raíces C8 y T1, y es considerado la rama terminal más pequeña del plexo braquial. Puede que no tenga el protagonismo de otros nervios más conocidos, pero su trayecto y sus posibles implicaciones clínicas lo convierten en una estructura digna de atención.
El MCNA se origina del cordón medial, ubicándose inicialmente sobre la cara anterior del músculo subescapular, superficial al principio, para luego situarse posterior a la vena axilar. Desde allí desciende por la cara medial del brazo, primero entre las cabezas larga y medial del tríceps, y más distalmente sobre la cabeza medial, donde se aproxima al nervio cubital.
Lo curioso de este trayecto es su variabilidad: en la región del epicóndilo medial, se han descrito hasta cinco ramas terminales, todas encargadas de la sensibilidad de la cara medial del brazo distal. Esta riqueza anatómica puede ser tanto un desafío como una oportunidad en el contexto clínico.
Y en este punto entra en escena un compañero inesperado: el nervio intercostobraquial (ICBN). Procedente de la rama cutánea lateral del segundo nervio intercostal, el ICBN contiene fibras de T2 y se une al juego tras atravesar el músculo intercostal y el serrato anterior, emergiendo hacia la axila para inervar la cara medial proximal del brazo y el pliegue axilar posterior.
Disección anatómica del paquete neurovascular en la región proximal del brazo con correlación ecográfica.
A. La arteria braquial (BA) y la vena braquial (BV) se exponen junto con las estructuras nerviosas circundantes. Superficial a la BA, el nervio mediano (punta de flecha) y sus 2 raíces (una del fascículo medial y otra del fascículo lateral) se observan adyacentes a la cabeza corta del bíceps. El nervio cubital (flecha blanca gruesa) y el nervio cutáneo medial del brazo (flecha blanca fina) se originan ambos del fascículo medial. La vena basílica y el nervio cutáneo antebraquial medial se han retirado junto con la grasa que rodea al paquete neurovascular. Un segmento del nervio radial (flecha delineada) es visible profundo a la BV.
B. La imagen ecográfica muestra el paquete neurovascular obtenida al mismo nivel que la disección en A. Nótese el tendón del dorsal ancho, indicado como LD en A y con puntas de flecha delineadas en B. Para escanear esta zona, se pide al paciente abducir y elevar el brazo con la mano hacia adelante. Debido a la presión ejercida por el transductor, la vena basílica y las venas braquiales (BV) se comprimen y apenas son visibles. Obsérvese la estrecha proximidad del nervio cutáneo medial del antebrazo (flecha discontinua) con el nervio mediano (punta de flecha blanca), así como el nervio cutáneo medial del brazo (flecha fina) y el nervio cubital (flecha gruesa).
C. Se muestra una vista ecográfica más distal del paquete neurovascular. Para mejorar la visualización de los nervios, la presión aplicada provocó el colapso de las venas. Los nervios mediano y cubital (punta de flecha y flecha, respectivamente) mantienen su posición cercana a la arteria braquial (BA), mientras que el nervio radial (flecha delineada) se sitúa en el plano de clivaje entre la cabeza medial del tríceps (MhTr) y la cabeza larga del tríceps (LhTr). El nervio cutáneo medial del antebrazo (MCNF, punta de flecha vacía) discurre junto a la vena basílica colapsada, más próximo al nervio mediano, mientras que el nervio cutáneo medial del brazo (MCNA, flecha fina) se adhiere a la fascia del LhTr. El nervio musculocutáneo (punta de flecha discontinua) se observa profundo a la cabeza corta del bíceps (SHB) en B y entre las dos cabezas del coracobraquial (Cbr) en C.
D. Se presenta un esquema de las relaciones anatómicas de los vasos y nervios, tal como se observan en C.
Ambos nervios no solo comparten territorio, sino que también pueden compartir conexiones. Una rama anastomótica entre el ICBN y el MCNA es descrita de forma habitual, aunque su prevalencia real sigue siendo debatida: algunos estudios la sitúan en hasta el 90% de la población. Lo más fascinante es la hipótesis de ciertos autores que sugieren que esta conexión no sería una simple rama comunicante, sino un retorno de fibras de T2 desde el plexo braquial hacia el ICBN, lo que supondría una contribución intratorácica de T2 al plexo. Nada mal para un nervio que muchos pasan por alto.
Como si de una misión encubierta al estilo James Bond se tratara, el MCNA y el ICBN suelen permanecer ocultos, pero su participación puede ser decisiva, especialmente en contextos quirúrgicos. El MCNA distal puede lesionarse en procedimientos como la braquioplastia, aunque es menos frecuente que las lesiones del nervio cutáneo medial del antebrazo, que corre más superficial. Por otro lado, las porciones proximales del MCNA e ICBN son especialmente vulnerables durante cirugías mamarias, en particular durante las mastectomías o las disecciones ganglionares axilares.

Disección anatómica con correlación ecográfica del aspecto medial del brazo en su porción media.
En A, el nervio cutáneo medial del antebrazo (MCNF, flechas negras) se observa entre la vena basílica (asterisco negro) y el nervio cubital (cabezas de flecha negras). La arteria braquial, teñida con látex azul, se visualiza entre la vena basílica y el nervio mediano (flechas blancas). Nótese la localización superficial del MCNF con respecto a la fascia de la cabeza medial del tríceps (TrMH). El nervio cutáneo medial del brazo no está incluido, ya que fue retirado junto con la grasa subcutánea.
En B, se identifican 2 ramas del MCNF (cabezas de flecha blancas) situadas a cada lado de la vena basílica (BaV). En la porción media del brazo, el MCNF se dispone superficial a la fascia profunda (cabezas de flecha delineadas).
La imagen C se obtiene ligeramente posterior en relación con B. Dos pequeñas ramas del nervio cutáneo medial del brazo (flechas delineadas) discurren superficiales a la fascia, como satélites del nervio cubital (flecha blanca), que se sitúa por debajo de la fascia de la cabeza medial del tríceps (TrMH). En una posición más anterior, la vena basílica (BaV), acompañada del MCNF (flecha blanca), se representa claramente.
En D, se proporciona un esquema para facilitar la interpretación de las imágenes B y C.
Flechas delineadas en A: vena cefálica.
Para evaluar el nervio cutáneo medial del brazo (MCNA) con ecografía, se pueden utilizar dos posiciones del paciente: sentado frente al explorador con el brazo extendido sobre la camilla, o en decúbito supino con el brazo abducido para exponer la axila. Ambas posiciones permiten un acceso adecuado, dependiendo del trayecto que se quiera visualizar.
El punto de referencia clave durante la exploración es el nervio cubital. La sonda debe colocarse proximal al túnel cubital y desplazarse en dirección a la axila. Durante este recorrido, es fundamental prestar atención a otras estructuras fasciculares que se encuentran cerca del tronco nervioso principal. El MCNA suele ubicarse justo por detrás del nervio cubital, aunque su disposición puede variar cerca del codo, donde comienza a ramificarse.
A medida que el MCNA se aproxima a la región axilar, se vuelve más reconocible, ya que se acerca a la convergencia con el nervio cutáneo medial del antebrazo y el propio nervio cubital, para formar el cordón medial del plexo braquial.
Y es aquí donde, como si estuviéramos siguiendo las huellas de Indiana Jones en busca de un nervio escondido, la paciencia y el conocimiento anatómico se convierten en las verdaderas herramientas del explorador. Saber qué buscar y dónde buscarlo marca la diferencia entre una imagen confusa y un hallazgo claro.
Hallazgos patológicos
Las lesiones del MCNA suelen tener un origen traumático o iatrogénico. Puede lesionarse por transección durante procedimientos quirúrgicos o quedar atrapado en tejido cicatricial en la zona del abordaje.
En caso de sospecha de lesión, la ecografía puede ser muy útil para distinguir entre una sección completa del nervio y una lesión parcial. En estas últimas, es común observar un neuroma en continuidad, que aparece como un engrosamiento fusiforme, hipoecoico, localizado en el trayecto fascicular, pero sin una interrupción clara de la continuidad del nervio.
Es esencial, en estos casos, diferenciar el neuroma traumático de otros tumores de nervio periférico, como los schwannomas, que se presentan con márgenes bien definidos y una estructura hipoecoica más homogénea.

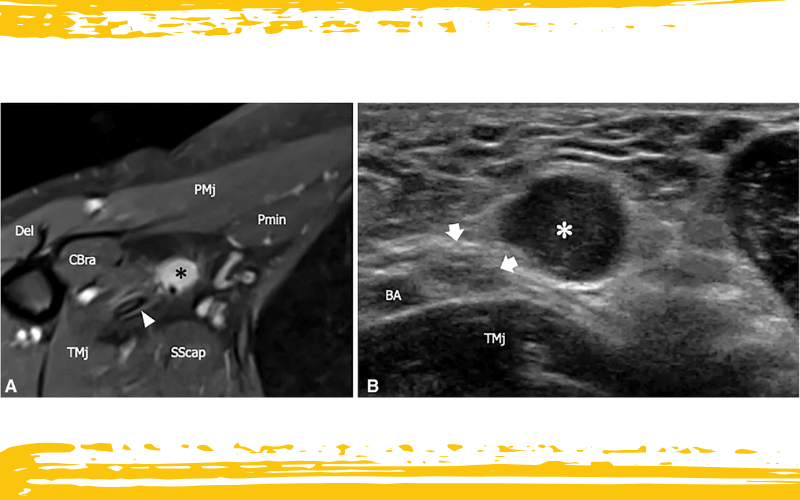
Schwannoma del nervio cutáneo medial del brazo en un paciente con dolor y parestesias en la cara interna del brazo distal.
En A, la imagen axial en secuencia STIR (Short-Tau Inversion Recovery) y en B la imagen ecográfica transversal muestran una masa (asterisco negro en A, asterisco blanco en B) originada en el nervio cutáneo medial del brazo a nivel de la axila. La lesión está en estrecha relación con el nervio cubital (flechas blancas en B) y con la arteria braquial (BA). La masa presenta márgenes regulares y bien definidos, aparece marcadamente hiperintensa en la secuencia ponderada en T2 y homogéneamente hipoecoica en la ecografía.
La hipótesis de schwannoma se confirmó posteriormente mediante análisis histológico. Tras la resección quirúrgica de la masa, el paciente refirió una clara mejoría de los síntomas, persistiendo únicamente una pequeña zona de hipoestesia residual a nivel del epicóndilo medial.
Del: deltoides; CBra: coracobraquial; TMj: músculo redondo mayor; SScap: músculo subescapular; PMj: pectoral mayor; Pmin: pectoral menor; punta de flecha blanca: arteria braquial.
Cuando el nervio se secciona por completo, el crecimiento axonal desorganizado dentro del músculo o la fibrosis perineural da lugar a la formación de un neuroma terminal. En ecografía, este suele visualizarse como una masa hipoecoica en cada extremo del nervio seccionado, y típicamente aparece alrededor de los 28 días posteriores a la lesión.
El MCNA también puede verse atrapado de forma secundaria en tejido cicatricial dentro de la grasa subcutánea o en los músculos del brazo, especialmente después de traumatismos, linfadenectomías o cirugías mamarias. En estos casos, el tejido fibroso aparece como una zona hipoecoica irregular, donde la estructura del nervio ya no es identificable.
Como ocurre con los caminos que se desdibujan en el mapa del merodeador de Harry Potter, la fibrosis puede distorsionar el trayecto habitual del nervio, haciéndolo difícil de seguir. También puede observarse una dilatación proximal al punto de atrapamiento, reflejando una respuesta a la obstrucción mecánica.
Aunque pequeño y muchas veces ignorado, el nervio cutáneo medial del brazo puede ser la clave para entender síntomas sensitivos poco claros o complicaciones postquirúrgicas que pasan desapercibidas. Con una ecografía bien dirigida, es posible no solo identificar su trayecto, sino también detectar lesiones, atrapamientos y neuromas con gran precisión.
Pero esto es solo el comienzo. En el próximo blog, bajamos unos centímetros para centrarnos en su compañero cercano: el nervio cutáneo medial del antebrazo. Porque cuando se trata de nervios sensitivos, cada milímetro cuenta.
Bibliografía:
High-Resolution Ultrasound of Clinically Relevant Sensory Nerves of the Arm and the Forearm